Jonas: FirmaBAC BAC BAC

Har faktisk ikke fått med meg dette. Kun at 3/7 fortsatt lever og at mOS er 14mnd (kan bli høyere). Falt en eller flere av de som fikk dobbelt behandling i fra etter 12 mnd kanskje?
Dobbelt så stor tumor betyr vel 4 ganger så stor tumor masse?
Nei, det kommer an på hvordan tumoren ser ut. De måler lengste akse tror jeg. Da kan vi si at dobbel lengde gir minst dobbelt volum hvis den bare vokser i lengden ( som en meitemark som blir dobbelt så lang). Hvis den også blir dobbelt så tykk så blir det 8 ganger volum. Blir meitemarken til en kule øker volumet mye mer.
Det må være bortimot korrekt Bonusfrelst.
Det er jo ikke gitt at kun 1 tumor behandles, men vi er informert om følgende på Q1:
“The average tumour burden (overall target tumour diameter) in patients with measurable
disease in the extension was about twice the average tumour burden in the dose escalation”
I Q2-18 rapporten så står det følgende om tumorstørrelse i dose eskaleringen:
"Average overall tumour size:
Cohort IV (N=6)
(0.25mg/kg): 5.2 cm (range: 2.1 - 7.8 cm)
Phase I – full study (N=16)
(0.06-0.25mg/kg): 4.1 cm (range: 1.5 - 7.8 cm)"
Samtidig vet vi at kriterier i følge RECIST for måling er solid tumors på baseline er som følger:
" Baseline documentation of “target” and “non-target” lesions[edit]
- All measurable lesions up to a maximum of 2 lesions per organ and 5 lesions in total, representative of all involved organs should be identified as target lesions and recorded and measured at baseline.
- Target lesions should be selected on the basis of their size (lesions with the longest diameter) and their suitability for accurate repeated measurements (either by imaging techniques or clinically).
- A sum of the longest diameter (LD) for all target lesions will be calculated and reported as the baseline sum LD. The baseline sum LD will be used as reference by which to characterize the objective tumor response.
- All other lesions (or sites of disease) should be identified as non-target lesions and should also be recorded at baseline. Measurements of these lesions are not required, but the presence or absence of each should be noted throughout follow-up."
Kriteriene fra RECIST stemmer bra med det vi vet fra tidligere om at “17 av 19 tumorer krympet og 12 av 19 tumorer forsvant helt”. Skulle bli ca 1,2 tumorer behandlet per pasient.
Er ikke helt stødig på utregningene her, men at tumorer på størrelse med tennisballer var det gjennomsnittlige på extension studien er neppe noen overdrivelse. Normalen virker å være en golfball.
Fantastisk gjennomgang av PCIB og PHO av einarsson&co i podcast 84.
Ingen tvil om at dette er meget gode selskaper å være aksjonærer i.
PCIB:
FimaCHEM
FimaVACC
FimaNAc
FimaBAc sterk kandidat til å bli oppført og som omhandler resistens
PHO
“kan ikke se hva som skulle hindre en suksess og kommende SoC”
Godt med slike tilbakemeldinger når kursen danser rock&roll
Lykke til
Jeg spurte Per om dette i dag. Han svarte at det er vanskelig å si noe eksakt om hvor mye volumet på tumor øker selv om man går fra eksempelvis 3 til 6 cm. Avhengig av form, kan den alt fra doble volumet til å åtte ganger seg i str. Det er derfor vanskelig å anslå helt presist. Det var også slik, at de måler flere tumorer og slår sammen størrelsen, f.eks. 2+3=5 cm. Hvordan det slår ut i effekt er for meg umulig å mene noe om, men jeg tror det er riktig å ikke tenke rundt objekt?
Rart de slår sammen tumorstørrelser.
Store tumorer skulle vel indikere at en har hatt kreften i en lenger tidsperiode med det dette medfører (spredning , allmen tilstand etc)
Den er sikkert mer oval siden kreften oppstår i epitiel-cellene i gallegangen, dvs overflatecellene inne i gallegangen.
Samme form som klasen en bisverm danner som sitter fast på en grein når de svermer kan være et riktig mentalt bilde. Bi-dronningen lander jo først og så setter svermen seg på henne for å beskytte henne. Dronningen blir da den initielle kreftcellen, og så vokser tumoren langs greina på samme måte som biene etterhvert lander.
Symbolet til Cholangiocarcinoma Foundation er jo et tre, og det symboliserer jo the biliary tract system , eller gallegangssystemet med greiner i levra og stammen er the billiary tract.
Og mOS 21.7 for cohort4 og mOS 14.4 for og phase 1. Vesentlige større tumorer men lenger mOS.
Extension med veldig store tumorer (omtrent 8cm) og mOS så langt på 14 mnd (kan bli lenger).
Konklusjon: Dette virker ekstremt lovende (lav N)
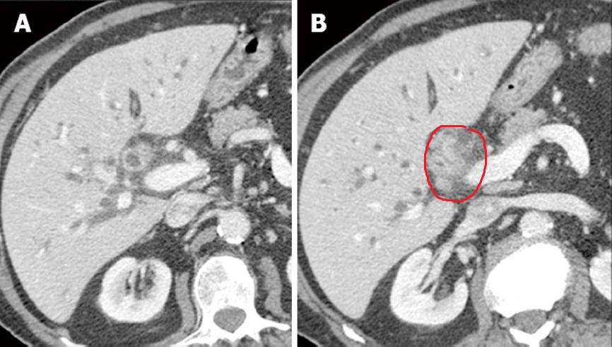
Min erfaring er at flesteparten har et avrundet utseende, mens færre har en infiltrativ vekst langs gangsystemet. Her er noen bilder for å eksemplifisere typiske utseender:
På CT-skanningene ser man tversnitt gjennom buken (kalles transversalplan eller axialplan). Jeg har markert med rødt omkring cholangiocarcinomene.
Interessant Bra-Britt, for da er det jo faktisk det mentale bildet av en tennisball versus golfball som gjelder, og ikke bisverm-analogien.
Og hva mer, tumormassen er nærmere 8 ganger så stor, og sjeldnere i intervallet 2 til 4 ganger så stor.
Mao solid data vi har allerede på dette tidspunktet.
Hvordan dere folk klarer å tolke de greiene der er beyond me.
Kanskje de burde ta seg deltidsjobb med å tolke aksjechart 
Noen av de over er ikke så enkle å avgrense, på nederste bilder er det med to snitt. I snittet til venstre er det tegn til infiltrativ vekst langs med gallegangsystemet i høyre leverlob. I tillegg har man den mer runde forandringen noen snitt nedenfor, så da blir det vanskelig med eksakte utmålinger.
Galleganger som er obstruerte blir fyllt med gallesludge, som er geleaktig galle. Dette kan likne på tumorvekst.
MR-skanning er noe bedre til avgrensning fordi man har bedre kontrast samt får hjelp av noe som heter diffusjonvektede sekvenser.
Så det er ikke alltid så lett med klatskintumorer, og det er sikkert derfor også at flere av PCIB sine pasienter ikke har vært målbare i henhold til recist.
Transcript fra dagens Radium podcast som omhandler tumor-størrelse og hva Jonas Einarsson mener om saken, og hva han har gjort med det.
Takk til Forsk og Bra-Britt for godt arbeide.
"Det er i hvert fall 2 observante lyttere som har fått med seg at du har vært inne og skrevet på et forum, dette blir litt internt men det finnes jo en del slike diskusjonsforum, hvor man diskuterer selskaper, nyheter og sånt noe. Og hva er det dere har diskutert her da?
Jeg leser mesteparten av det som kommer på disse foraene, rett og slett fordi jeg har lyst å få et overblikk om hva er det folk lurer på hva er det de diskuterer, er det noe vi skal plukke opp og si noe om her. Og også å videreformidle det til selskapene, jeg snakker jo ofte med disse i selskapene.
Og i dette tilfellet var det en som hadde gravd fram en artikkel, og jeg fant senere ut at det var artikler fra den samme gruppen som hadde studert gallegangskreft. Og det de påpekte der var at det hadde ikke vært noen etablert gradering av pasientene hvis de ble regnet som inoperable, dvs hvis de ikke blir operert.
Det blir bare delt inn enten lar de seg operere eller så lar de seg ikke operere. Og disse studiene som PCIB har sammenlignet seg med tidligere, er det ikke ESCAP denne studien heter?
I alle fall, den studien de har brukt, der har de sammenlignet med pasienter totalt, altså de som er inoperable. Og så mener disse artikkelforfatterne at de har nå laget et godt graderingsystem, som har en del kriterier, som går på tumor-størrelse, med eller uten metastaser, lokal-metastaser, fjernmetastaser, og deler da inn som vi ofte gjør i 4 stadier.
Grad 4 er fjernmetastaser, uavhengig av tumorstørrel se, da er forferdelig dårlig prognose. Og så er det tumor-størrelsen som teller, og det eneste vi vet noe om disse kriteriene fra PCI-studiene er jo nettopp om tumor-størrelse der de påpekte at i denne extension-studien så var det 8 cm i snitt som jo er det lengste du kommer i stadium 3, før du eventuelt får fjernmetastaser og sier stadium 4. Jeg tror ikke noe av pasientene i PCIB sitt studie har vært i stadie 4, altså fjernmetastaser, hvis man da ikke definerer lever-metastaser som fjernmetastaser. Men det tror jeg ikke de gjør sånn at det er en del usikkerhet omkring PCIB sine data.
Men hvis man nå sier at, i hvert fall i extension-studien, og kanskje også en del av pasientene i den opprinnelige (dose-eskaleringen) lå i stadium 3, så er den prognosen mye dårligere, og en median overall survival som er lavere enn den studien de sammenligner seg med. De bruker jo 11 til 12 mnd (før de dør), og det er hele sekken.
Hvis du går på stadium 3, hvis jeg husker disse tallene riktig, så er disse tallene ned på 5,6 mnd eller sånt noe. Og da begynner jo disse 20 mnd til PCI å bli veldig gode data.
Jeg synes dette var veldig spennende, så jeg gikk til, og da brøt med min egen regel og berømmet den som hadde funnet det frem, for jeg synes det var veldig bra gravd og bra jobba. Og gikk og snakket med Per og PCI Biotech om dette.
Og de hadde vært klar over den første artikkelen, som kom i 2014 eller sånt noe. De hadde ikke så vidt meg bekjent sett denne aller siste artikkelen som er ganske ny nå, og de synes også dette var veldig spennende.
Og jeg spurte om de ikke kunne gjøre en jobb på å se om de klarte å gradere sine pasienter i den første studien ut i fra dette og sammenligne med disse dataene. Jeg tror at dette kan være svært positivt for selskapet.
Og tilbakemeldingen fra Per var at dette synes de var interessant, og dette ville de se på, men ba meg pent om å ikke love noe tid for å komme med det, de hadde «litte granne» annet å holde på med i forhold til RELEASE, fimaVACC osv."
Takk for transcript! Syns dog det er pussig at JE ikke tar med som en liten fotnote at få eller ingen av disse pasientene mottok behandling med GemCis. Det er faktisk et relevant punkt i forhold til det artikkelen viser.
2014-studiet er gjort på pasienter fra 2002 til 2010 så det stemmer nok, det burde vært en fotnote om det er 2014-studiet det henvises til. Uansett er poenget at det er stor forskjell på pasienter i stage 2 og stage 3, jf artikkelen som Bra_Britt refererte til.
" Of the 224 patients in the palliative biliary drainage group, 11, 34, 119, and 54 were classified as stage I, II, III, and IV, respectively; 6 had missing CA 19-9 values for staging. The median survivals were 20.8, 12.4, 7.7, and 3.0 months, respectively ( P <0.0001)"
Og treshold er på 3 cm (stage versus stage 3), så med 4,1 cm for hele dose-eskaleringsstudiet, 5,2 cm for kohort 4 og hele 8 cm for extension-studiet så er det åpenbart at resultatene til PCIB er bunnsolide all den tid når tumorstørrelse er en veldig klar prognostisk faktor.
Den andre nyere artikkelen som JE referer til og som heller ikke PCIB kjente til har jeg ikke kunnskap om hva som var grunnbehandlingen var, men observasjoner og resultater er de samme, tumorstørrelse er av stor betydning, og PCIB sine resultater fra extensionstudien virker å være knallsterke.
Det studiet også sier oss mye om, da jeg antar at populasjonen er representativ for populasjonen som PCI retter seg mot, er at ca. 80% av pasientene befinner seg i enten grad 3 eller 4. Videre kan man anta at det samme gjør seg gjeldende i ABC-02-studiet, og at det er disse overlevelsesdataene som er de eneste relevante å sammenligne med pdd.
Forøvrig er tumorstørrelse langt fra eneste parameter som plasserer pasienter fra denne studien i grad 1, 2, 3 eller 4. Her er screeningen man kjørte pasientdataene gjennom for å klassifisere grupper:


Så flere tumorer kan gi en pasient grad 3, selv om vedkommendes tumor er mindre enn 3 cm, da de allokeres til et stage basert på antall tumorer, CA 19-9 level eller ECOG.
En følge av dette blir også at det er en voldsom forenkling å se en sammenheng mellom tumorstørrelse og overlevelse på bakgrunn av dette datasettet.
Selvsagt er det flere saker som bidrar til klassifiseringen, men tar du en titt på flytskjemaet ditt Glein så ser du sikkert at boksen “tumor size” gir den endelige beslutningsfaktoren om man kan bli definert til stage 2 eller ei, er om tumoren er større eller mindre enn 3 cm.
Synes flyteskjemaet illustrerer svært godt mitt poeng.



